Volumetric Modulated Arc Therapy (VMAT)

Advancements in cancer treatment have significantly improved the precision and effectiveness of radiation therapy. One such breakthrough is Volumetric Modulated Arc Therapy (VMAT). This sophisticated technique delivers radiation with remarkable accuracy, targeting tumors while minimizing exposure to surrounding healthy tissue. If you're a patient or a caregiver, understanding VMAT can help you feel more informed and prepared. Let's explore what VMAT is, how it works, and what you can expect during treatment.


What is VMAT?

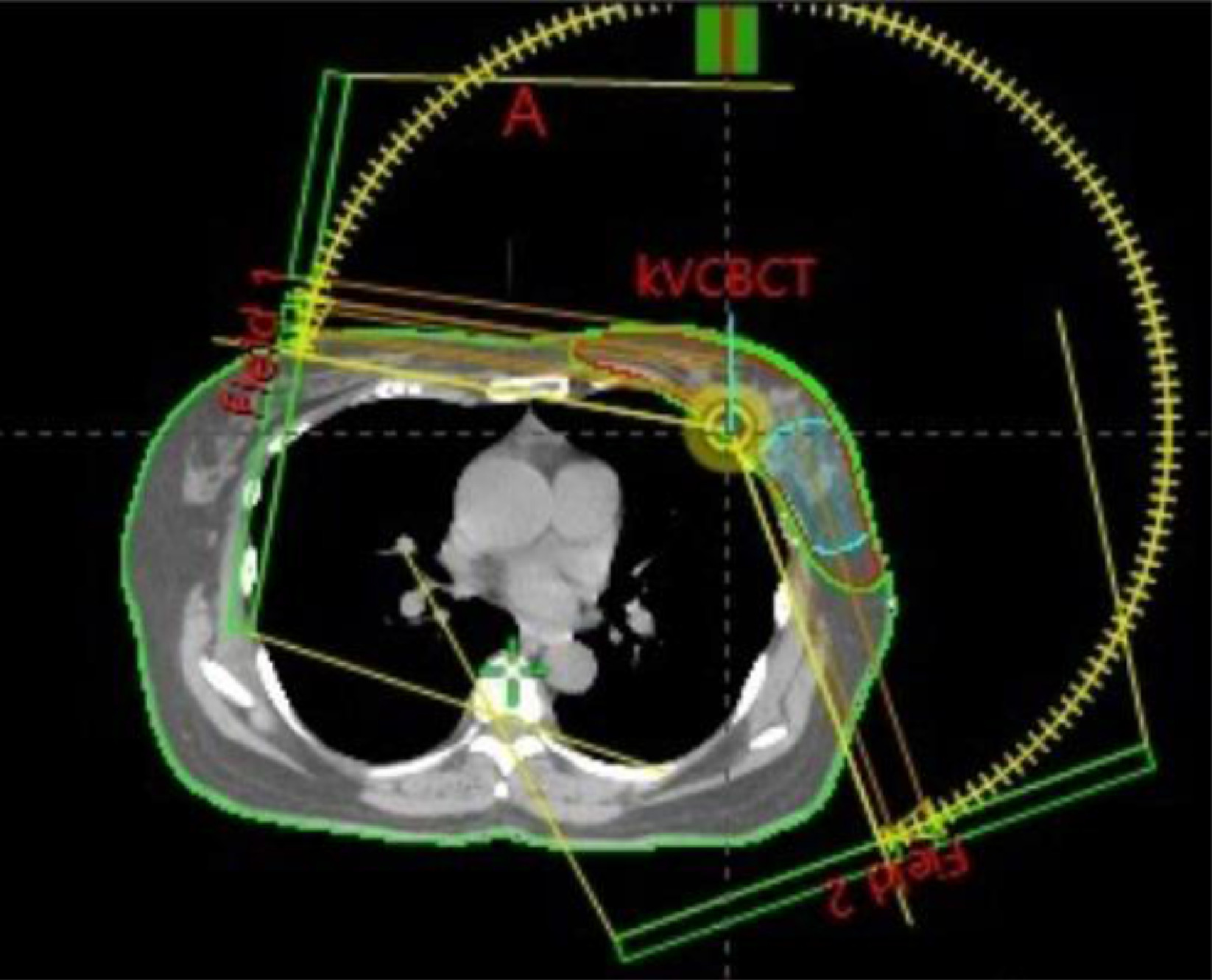
VMAT is a type of radiation therapy that uses advanced technology to treat cancer. Unlike traditional radiation therapy, which delivers radiation from a single angle, VMAT rotates around the patient in a 360-degree arc. This approach allows for precise targeting of the tumor, adjusting the intensity of the radiation beam as it moves, and delivering the optimal dose directly to the cancer cells.


How Does VMAT Work?

1. Planning:
  • The process begins with detailed imaging scans, such as CT or MRI, to map the tumor's size, shape, and location. These images help the medical team create a tailored treatment plan.
2. Treatment Delivery
  • During a VMAT session, the patient lies still on a treatment table. The machine, known as a linear accelerator, rotates around the patient, delivering radiation in a continuous arc. The intensity and shape of the radiation beam are constantly adjusted to focus on the tumor from multiple angles.
3. Precision and Efficiency:
  • VMAT's ability to change the radiation intensity and shape in real-time allows for a higher dose to be delivered to the tumor while protecting nearby healthy tissue. This precision reduces side effects and often shortens the overall treatment time compared to traditional methods.



Benefits of VMAT


1. Shorter Treatment Times
  • Because VMAT delivers radiation in a single or a few arcs, treatment sessions are typically faster, often taking just a few minutes.
2. Enhanced Precision:
  • The ability to modulate the radiation dose and target the tumor from various angles reduces the risk of damaging surrounding healthy tissues.
3. Fewer Side Effects:
  • With its focused approach, VMAT minimizes exposure to non-cancerous cells, potentially resulting in fewer side effects compared to conventional radiation therapy.
4. Versatile Treatment Option:
  • VMAT can be used to treat various types of cancers, including those in complex or hard-to-reach areas like the head, neck, and prostate.


What to Expect During VMAT Treatment

1. Consultation and Simulation:
  • Your treatment journey begins with a consultation, where your oncologist will explain the process and address any concerns. You’ll then undergo a simulation session, where imaging scans are taken to create a personalized treatment plan.
2. Treatment Sessions:
  • During each session, you’ll be positioned on the treatment table. The radiation therapist will ensure you’re comfortable and in the correct position before leaving the room. Although the therapist will be outside the treatment room during the session, you can communicate through an intercom.
3. After the Session:
  • VMAT is generally painless, and most patients can resume their daily activities immediately. However, some may experience mild side effects such as fatigue, skin irritation, or changes in appetite, depending on the treatment area.


Managing Side Effects

While VMAT is designed to minimize side effects, some patients may still experience mild to moderate symptoms. Here are a few tips for managing them:

1. Fatigue:
  • Rest as needed, but try to maintain light physical activity, like walking, to boost energy levels.
2. Skin Care:
  • Use gentle, fragrance-free skin products and avoid sun exposure to the treated area
3. Nutrition:
  • Eat a balanced diet to support your body’s healing process. If you experience appetite changes, consult a dietitian for tailored advice.

Do's and Don'ts for Volumetric Modulated Arc Therapy (VMAT)

Dos:

1. Follow Your Treatment Plan:
  • Adhere strictly to the schedule and instructions given by your healthcare team for the best outcomes.
2. Attend All Appointments:
  • Ensure you are on time for every treatment session and follow-up appointment to track your progress.
3. Communicate with Your Medical Team:
  • Report any unusual symptoms, discomfort, or side effects to your doctor or radiation therapist immediately.
4. Stay Hydrated:
  • Drink plenty of water throughout your treatment to help your body cope with radiation and flush out toxins.
5. Eat a Nutritious Diet:
  • Maintain a balanced diet with plenty of fruits, vegetables, and lean proteins to support your body during treatment.
6. Rest and Manage Stress:
  • Get adequate sleep and consider relaxation techniques like meditation or gentle yoga to manage stress.
7. Follow Skin Care Guidelines:
  • Use gentle, fragrance-free skin products on the treatment area, as recommended by your healthcare provider.
8. Protect Treated Areas from Sun:
  • Cover the treated area with loose clothing and avoid direct sun exposure to prevent skin irritation.
9. Ask Questions:
  • If you have any concerns or need clarification about your treatment, don’t hesitate to ask your medical team.
10. Engage in Light Physical Activity:
  • Gentle exercise like walking can help maintain your energy levels and reduce fatigue, but consult your doctor before starting any new activity.

Don'ts:

1. Don’t Miss Treatments:
  • Skipping or delaying sessions can reduce the effectiveness of the therapy and impact your overall outcome.
2.Avoid Using Harsh Skin Products:
  • Refrain from using products containing alcohol, perfume, or strong chemicals on the treated area.
3. Don’t Scratch or Rub the Treated Area:
  • This can increase irritation and potentially lead to skin damage.
4. Avoid Smoking and Alcohol
  • Both can interfere with your body’s ability to heal and may reduce the effectiveness of your treatment.
5. Don’t Engage in Strenuous Activities:
  • Avoid heavy lifting or vigorous exercise, especially if you are experiencing fatigue or discomfort.
6. Limit Exposure to Infections:
  • Stay away from crowded places and people who are sick, as your immune system may be weakened during treatment.
7. Don’t Self-Medicate:
  • Avoid taking any new medications, supplements, or herbal remedies without consulting your oncologist first.
8. Avoid Hot Tubs and Saunas
  • Heat can irritate the treated skin and exacerbate side effects.
9. Don’t Ignore Mental Health:
  • If you’re feeling overwhelmed or anxious, seek support from a counselor or join a cancer support group.
10. Don’t Isolate Yourself:
  • Stay connected with family, friends, or support groups to help you through the emotional and physical challenges of treatment.

Reach out to your support network or healthcare team for help, whether for practical support or emotional encouragement.